Жуткий побочный эффект — в горле ярого курильщика начали расти волосы

Волосы выросли в горле мужчины — врачи заявили, что причина в сигаретах
Человек страдает от боли в горле. Фото: freepik.com

52-летний мужчина из Австрии был ярым курильщиком. Этой плохой привычке он посвятил 30 лет своей жизни, выкуривая не меньше пачки в день. О вредном влиянии сигарет на здоровье и говорить нечего. Однако побочный эффект, с которым столкнулся этот австриец, действительно впечатляет — в его горле буквально начали расти волосы.

Реклама
Читайте также:

Как это вообще возможно и что говорят врачи об этом жутком случае, пишет издание Daily Mail.

Так, сначала пациент обратился к врачам с жалобами на хронический кашель, хриплый голос и затрудненное дыхание. Мужчина чувствовал некий дискомфорт в горле.

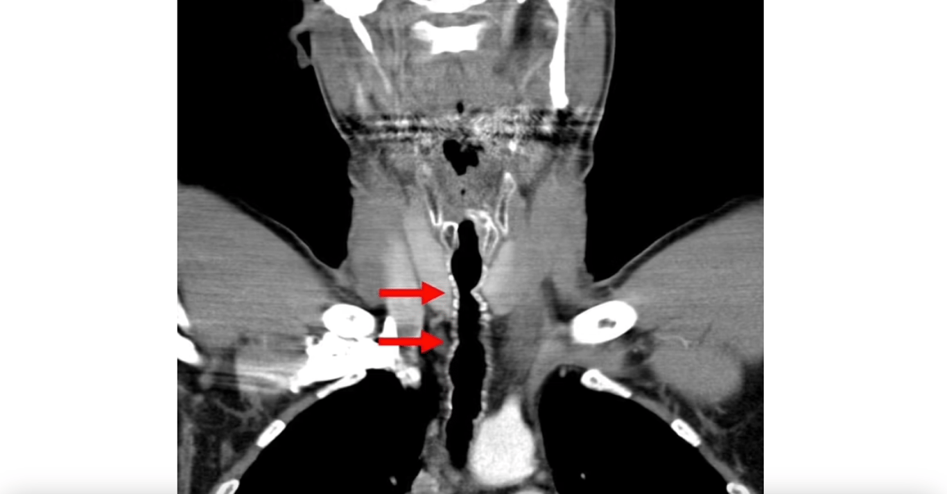
К счастью, больница была технологически оснащена, и врачи сразу отправили больного на исследования. Сначала сделали компьютерную томографию, обнаружив что-то довольно странное.

 

Волосы выросли в горле мужчины — врачи заявили, что причина в сигаретах
У мужчины выросли волосы в горле. Фото: Daily Mail

Поэтому решили дальше отправить мужчину на специальную процедуру, чтобы провести маленькую камеру по дыхательным путям. Так и удалось выявить аномалию. Из слизистой горла буквально торчали волоски!

 

В горле 52-летнего курильщика, выкуривавшего по пачке сигарет в день, начали расти волосы
Врачи обнаружили несколько волосков в горле. Фото: Daily Mail

Как такое вообще возможно и при чем здесь сигареты?

Как выяснилось, много лет назад мужчине делали операцию на одном из участков горла — пересаживали кожу из уха. После операции все было хорошо, но с годами начало развиваться это отклонение.

По словам медиков, в медицинской литературе описано всего несколько подобных случаев. Причины заболевания до сих пор не изучены, однако врачи утверждают, что в этом случае рост был спровоцирован курением, которое может вызвать воспаление тканей в горле и приводить к превращению стволовых клеток в волосяные фолликулы.

Интересно, что австрийцу неоднократно удаляли волосы из горла, но каждый раз он повторно обращался за помощью. Так страдал он несколько лет. При этом продолжал курить.

 

В горле ярого курильщика начали расти волосы: как такое возможно
Человек курит сигарету. Фото: google.com

В конце концов, расстройство удалось вылечить только после того, как он бросил курить и решился на эндоскопическую аргоноплазменную коагуляцию — сожжение корня, из которого растут волосы.

Раньше мы писали, 22-летний парень из Австралии вышел из комы и внезапно перешел на другой язык.

Напомним, мы рассказывали, что индиец кремировал свою любимую, а затем увидел ее живой.

сигареты болезнь курение волосы врачи горло
Реклама
Реклама
Реклама
Реклама